WWE Hall of Famer Stone Cold Steve Austin revealed on Instagram that he underwent Total Knee Replacement surgery on his left knee, and it’s now going to be a year-long healing process.
However, Austin already has big plans. Here’s what the former 6-time WWF Champion wrote:
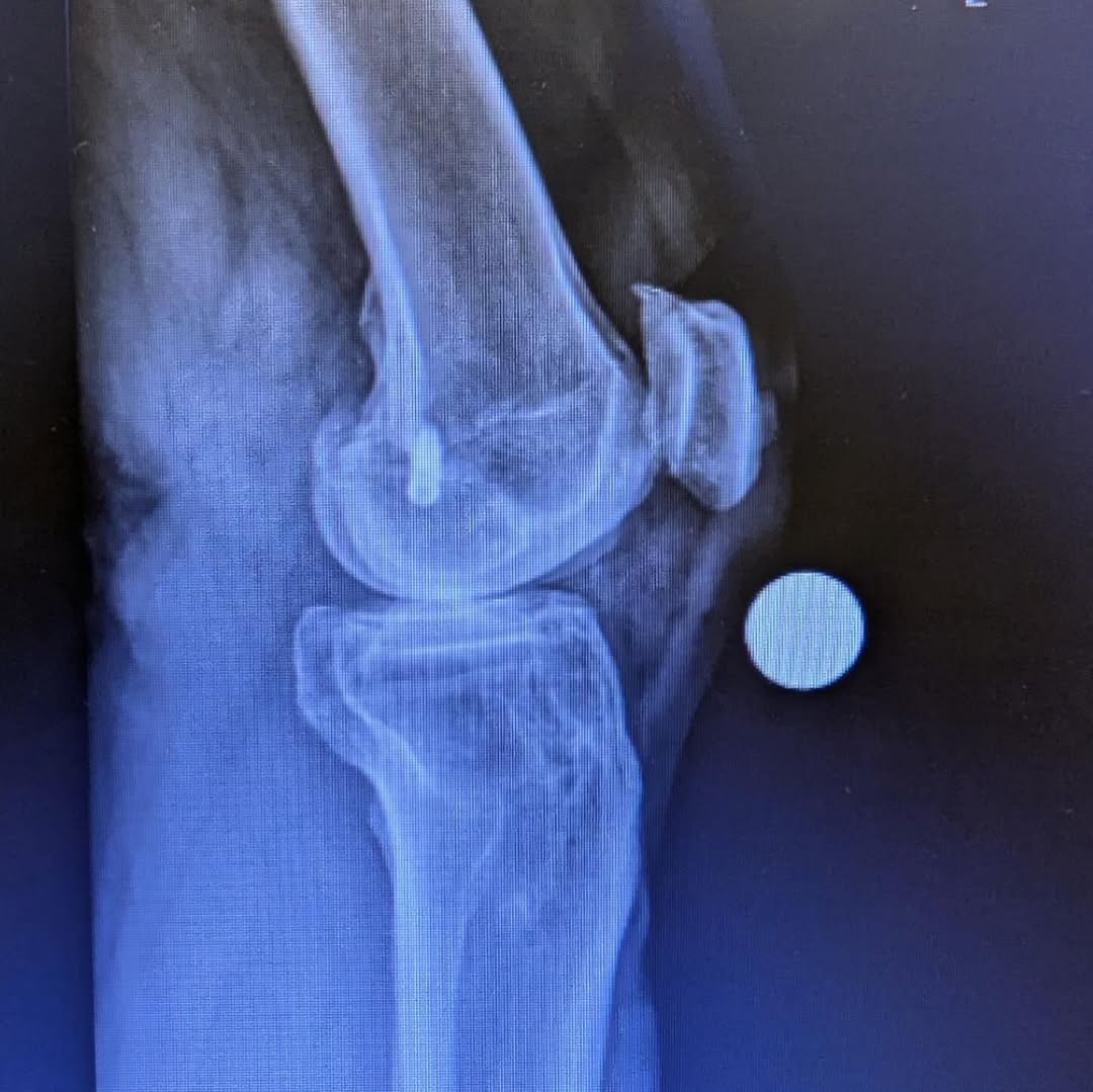
“How it was. And how it is…
I am 7 weeks post op on a Total Knee Replacement. My left knee was on its last leg, and I have been putting this surgery off for years. Post op X-Rays show everything is healing nicely. Many thanks to Dr. Nicholas Dirig, Derek Bobst, and their excellent team for my surgery. Thanks to Bill Wall of Physical Therapy Specialist for getting me back on track.
Before starting PT, I came out of the gate aggressive and started walking way too soon and too far and really pissed off my new knee. Total Knee Replacement is a year long healing process, so I don’t know what the hell I was thinking.
Swelling is still an issue, but things are healing up nicely and getting solid. I am back in the gym and training. Nothing heavy yet. And no squats…
I have my sights set to race in The Mint 400 outside of Las Vegas, NV with the @gfiracing team and my teammate @zach_kisman in 7 weeks.
I will get back in my @kawasakiusa KRX1000 for the first time this weekend to knock the rust off and get back to driving. I am thankful to have found the challenge of Desert Off Road Racing.
I love competition and the harsh conditions that come with it. So here goes…”
Austin shared the following photos:




WATCH: Emma / Tenille Dashwood Shows Off Her Buns (Part 2):

